Přihlásit seMůj účet
Registrovat se
 

“Čarování” s kompozitem, můj kompletní pracovní protokol a novinky roku 2026

Seminář
Zubní lékař
Pro všechny
5 ČSK
MDDr. Erika McGregor Lektor
MDDr. Erika McGregor
Datum a místo konání:
18. 6. 2026 (13:00 - 18:00) - Praha 3
Cena včetně DPH:
5990 Kč
Přihlásit se
“Čarování” s kompozitem, můj kompletní pracovní protokol a novinky roku 2026
18. 6. 2026 (13:00 - 18:00) - Praha 3 Přihlásit se
  • Plánování, fotky a analýza
  • Technika vrstvení a materiály
  • Finishing, leštění a protokol

Před samotným výkonem – co musím vědět, vidět a udělat

Příprava je základem kvalitního estetického výsledku. V této části se zaměříme na:

  • Fotodokumentaci před výkonem
    Dozvíte se, proč je důležitá pro analýzu případu i komunikaci s pacientem. Ukážeme si, jaké typy snímků jsou klíčové a jak je snadno a rychle pořídit i bez profi studia.
  • Analýza a plánování
    Prakticky si vyzkoušíte, jak z fotek vyčíst potřebné informace – tvar, proporce, symetrii, barvu, průsvitnost – a jak si na jejich základě naplánovat postup a stratifikaci.
  • Praktická mini část
    Každý účastník si vyzkouší analýzu připraveného případu, získá zpětnou vazbu a doporučení.

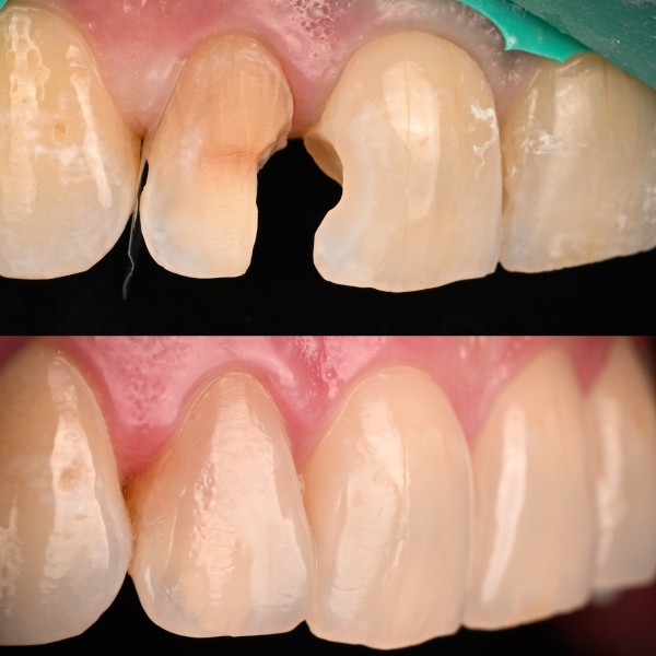
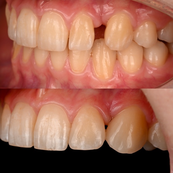
Samotný výkon – moje kompletní technika krok za krokem

V této části vám otevřu celý svůj protokol práce – bez tajemství. Probereme:

  • Materiály, které používám, a proč
    Vysvětlím volbu jednotlivých typů kompozit (enamel, dentin, efektové vrstvy) a jak je kombinuji pro dosažení přirozeného výsledku.
  • Nástroje a vrtáčky
    Přehled základních i doplňkových nástrojů, které používám při přípravě, vrstvení a finálním tvarování. Ukážu konkrétní typy a značky, které se mi osvědčily.
  • Moje technika stratifikace
    Detailní popis celého postupu od aplikace první vrstvy až po konečné modelování povrchu.
  • Kazuistiky z mé praxe
    Nejnovější případy s fotografiemi jednotlivých kroků, komentář k volbě postupu, materiálů i nástrojů.

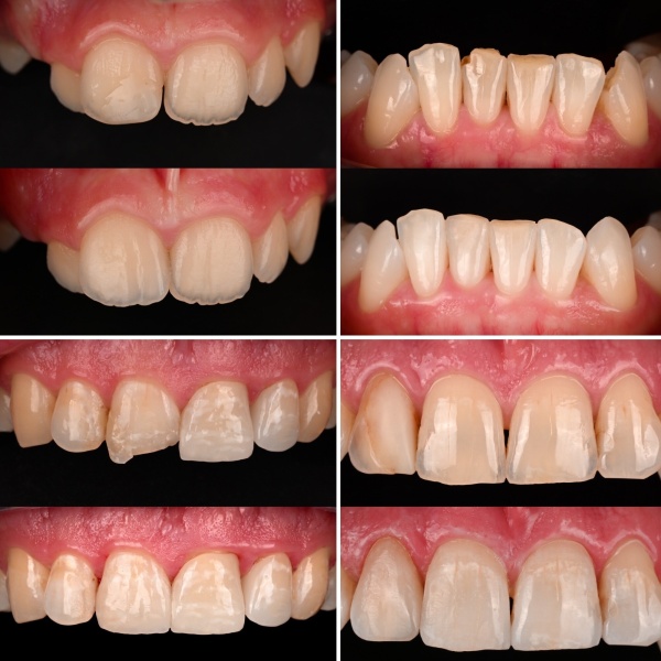
Finishing a leštění – lesk, který prodává

Závěr kurzu patří dokončení výplně – tam, kde se rozhoduje o výsledném dojmu:

  • Step-by-step protokol leštění
    Přehledný, opakovatelný postup, který vede k vysokému lesku a hladkému povrchu. Naučíte se, čím, kdy a jak leštit, aby výplň vypadala přirozeně a vydržela.
  • Fotky a videa z reálných případů
    Ukázky výsledků i jednotlivých kroků – co funguje, co ne, a proč.
  • Případové studie a diskuse
    Prostor pro otázky, výměnu zkušeností a ukázky dalších případů s komentářem.
Cena včetně DPH:5990 Kč
Přihlásit se

Organizační informace

DATUM A MÍSTO

18. 6. 2026, 13:00 - 18:00
Budova Dentamed, Pod Lipami 2602/41, 130 00 Praha 3

Možnost parkování zdarma, počet míst je ovšem omezen. V okolí budovy se nachází parkovací místa ve fialové zóně.

CENA 

5990 vč. DPH.
V rámci vstupu zdarma je zahrnuta účast na teoretickém kurzu a lehké občerstvení.

Přihlásit se

Kdo vás akcí provede?

Odborník

Určeno odborným pracovníkům ve zdravotnictví

Tyto stránky a na nich dále obsažené informace jsou určeny odborným pracovníkům ve zdravotnictví a nejsou určeny široké – laické - veřejnosti.

Pokračováním v používání těchto stránek potvrzujete, že jste odborníkem ve smyslu §2a zákona č. 40/1995 Sb., o regulaci reklamy, ve znění pozdějších předpisů, a že jste si vědom(a) rizik, která jsou spojena s tím, že se seznámíte s informacemi takto určenými pro případ, že odborníkem nejste.