IPS Ceram Art - monolitická rekonstrukce s gingivou

2denní praktický kurz
Laborant
Laboratoř
Ondřej Adam Lektor
Ondřej Adam
Datum a místo konání:
10. 9. - 11. 9. 2026 - Praha 3
Cena včetně DPH:
8990 Kč
Přihlásit se
IPS Ceram Art - monolitická rekonstrukce s gingivou
10. 9. - 11. 9. 2026 - Praha 3 Přihlásit se
  • 2denní teoreticko-praktický kurz
  • Co vzít s sebou? Štětce pro dobarvování a svojí oblíbenou destičku na míchání stainů. Nástroje pro broušení, gumování a leštění především monolitických materiálů
  • Prakticky probereme IPS Ceram Art - monolitická rekonstrukce s gingivou

Dvoudenní praktický workshop

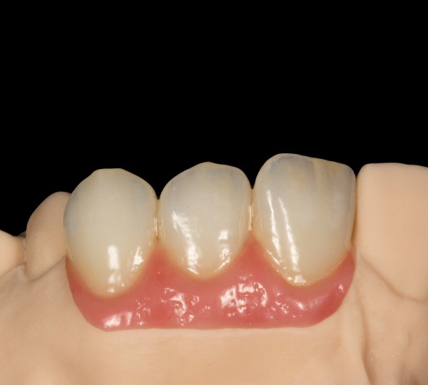
je zaměřen zejména na práci s dobarvovacím systémem IPS Ceram Art a zirkonoxidové rekonstrukce, které nahrazují a imitují nejen zuby, ale také gingivu. Detailně probereme kompletní workflow výroby takovéto náhrady – od výběru odstínu, přes následnou volbu konkrétního frézovacího materiálu jak z hlediska správné indikace konkrétního druhu zirkonoxidu, tak odstínu, až po možnosti estetické realizace.

V rámci úvodní teoretické prezentace si vysvětlíme, z jakých jednotlivých částí se odstín skládá v klasickém systému výběru odstínu s pomocí vzorníku a z jakých v systému eLab. Poté probereme, jak tyto hodnoty použít při volbě konkrétního zirkonoxidového disku IPS e.max ZirCad, a to jak z hlediska translucence, tak i z hlediska toho, které zubní tkáně imitují, a v neposlední řadě správné indikace dle fyzikálních vlastností konkrétních materiálů.

Tedy projdeme všechny druhy disků v rámci systému IPS e.max ZirCad a jejich konkrétní optické, estetické a indikační možnosti.

Dále postupně probereme všechny materiály v IPS e.max Ceram Art setech, se zaměřením na vysvětlení jejich použití a techniku práce s tímto novým dobarvovacím systémem. Součástí bude také poněkud netradičně pojatá cut-back technika s pomocí strukturovací glazury. Následně si ukážeme, jak postupovat s IPS Ceram Art u zmíněného typu rekonstrukcí tak, aby si každý z účastníků mohl systém, jeho vlastnosti i správnou techniku práce vyzkoušet, zvládnout a následně opakovaně aplikovat v běžném provozu zubní laboratoře.

Co vzít s sebou?

  • štětce pro dobarvování a svojí oblíbenou destičku na míchání stainů
  • nástroje pro broušení, gumování a leštění především monolitických materiálů
  • odhodlání naučit se něco nového o otevřenou mysl
Cena včetně DPH:8990 Kč
Přihlásit se

Organizační informace

DATUM A MÍSTO

10. 9. - 11. 9. 2026, 10:00 - 16:00
Budova Dentamed, Pod Lipami 2602/41, 130 00 Praha 3
09.04. - 10:00 - 18:00
10.04. - 09:00 - 15:00

CENA 

8990 Kč včetně DPH
V ceně je zahrnuta účast na 2denním praktickém kurzu a občerstvení.

Registrovat se

Kdo vás akcí provede?

Odborník

Určeno odborným pracovníkům ve zdravotnictví

Tyto stránky a na nich dále obsažené informace jsou určeny odborným pracovníkům ve zdravotnictví a nejsou určeny široké – laické - veřejnosti.

Pokračováním v používání těchto stránek potvrzujete, že jste odborníkem ve smyslu §2a zákona č. 40/1995 Sb., o regulaci reklamy, ve znění pozdějších předpisů, a že jste si vědom(a) rizik, která jsou spojena s tím, že se seznámíte s informacemi takto určenými pro případ, že odborníkem nejste.