Přihlásit seMůj účet
Registrovat se
 

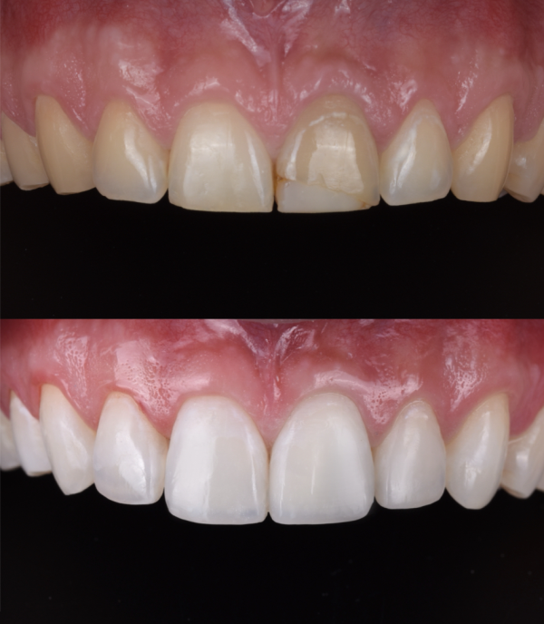
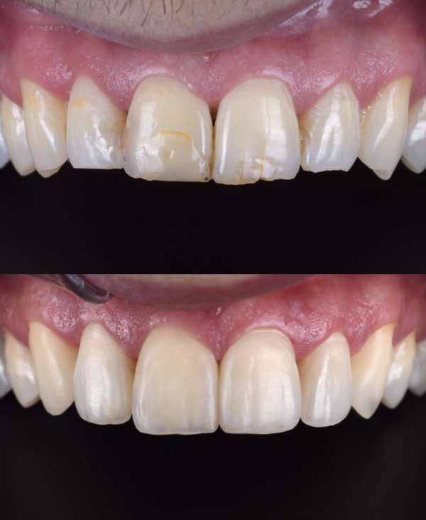
Kompozita, která nejsou vidět - Návod, jak nechat dostavby ve frontě splynout

Seminář
Zubní lékař
Pro všechny
5 ČSK
MDDr. Eva Otrusinová Lektor
MDDr. Eva Otrusinová
Datum a místo konání:
25. 6. 2026 (9:00 - 14:00) - Brno
Cena včetně DPH:
5990 Kč
Přihlásit se
Kompozita, která nejsou vidět - Návod, jak nechat dostavby ve frontě splynout
25. 6. 2026 (9:00 - 14:00) - Brno Přihlásit se

 

  • Adhezivní ošetření a biomimetika
  • Anatomie a estetika fronty
  • Kompozitní vrstvení a finiš

 

Popis kurzu:

  • Předpoklady pro efektivní a minimálně invazivní adhezivní dostavby - práce s kofferdamem, adhezní protokol, na co si dát pozor, základy biomimetiky
  • Morfologie fronty - základy, jak plánovat rekonstrukci, freehand kompozitní dostavby
  • Minimálně invazivní estetika - bělení, ICON
  • Vlastnosti kompozitních pryskyřic
  • Preparace
  • Použití matric, vrstvení
  • Vytváření aproximálních kontaktů
  • Finishing, polishing, neviditelné přechody

Co se účastník na kurzu naučí?

Tento zaměřený kurz poskytne účastníkům pevné základy v oblasti minimálně invazivních přímých kompozitních rekonstrukcí frontálních zubů, a to jak z teoretického, tak klinického hlediska. Každý účastník si odnese nejen konkrétní klinické dovednosti, ale i hlubší porozumění principům, které stojí za estetickým a funkčním ošetřením.

1. Efektivní a predikovatelné adhezivní ošetření

  • Naučíte se pracovat s kofferdamem tak, aby se stal vaším pomocníkem, ne překážkou.
  • Projdeme si krok za krokem správný adhezní protokol – od výběru adheziva až po optimální fotopolymeraci.
  • Ukážeme si, na co si dát pozor, abychom předešli častým chybám (např. kontaminace, přesušení, polymerační kontrakce).
  • Seznámíte se se základy biomimetického přístupu, který vám pomůže plánovat ošetření s důrazem na zachování přirozené struktury a biomechaniky zubu.

2. Morfologie frontálních zubů

  • Naučíte se číst tvar zubu – chápat základní anatomické linie, objem
  • Osvojíte si principy plánování kompozitní rekonstrukce – co je potřeba zachovat, co doplnit a jakým způsobem.
  • Budete schopni provádět freehand modelace, které respektují přirozenou estetiku i funkci.

3. Minimálně invazivní estetické techniky

  • Seznámíte se s indikacemi a postupem pro vnitřní a vnější bělení zubů.
  • Naučíte se, jak využít ICON infiltraci u neinvazivního ošetření bílých lézí – např. MIH, fluoróza nebo postortodontické skvrny.
  • Získáte přehled o tom, kdy volit minimálně invazivní estetický zásah místo výplně.
Cena včetně DPH:5990 Kč
Přihlásit se

4. Kompozitní materiály – vlastnosti a výběr

  • Pochopíte základní rozdíly mezi různými typy kompozitních pryskyřic (nanohybridy, mikrofillery, flow materiály).
  • Dozvíte se, který kompozit zvolit pro různé situace – dentin, body, enamelová vrstva, efekty apod.
  • Naučíte se číst optické vlastnosti materiálů a sladit je s požadavky pacienta.

5. Preparace zubu

  • Probereme různé typy preparací pro frontální kompozitní rekonstrukce.
  • Dozvíte se, kdy a jak preparovat zub, aby bylo dosaženo nejlepší adheze i estetiky při co nejmenším zásahu.

6. Použití matric a techniky vrstvení

  • Naučíte se efektivně používat různé typy matric a transparentních pásek pro přesné tvarování palatinální a vestibulární stěny.
  • Osvojíte si principy anatomického vrstvení – dentinová vs. enamelová vrstva, opacita, přechodová zóna.
  • Pochopíte, jak pomocí vrstev dosáhnout optické hloubky a přirozeného vzhledu výplně.


7. Aproximální kontakty

  • Získáte praktické tipy, jak vytvořit správně umístěný a pevný mezizubní kontakt.
  • Ukážeme si, jak využít nástroje, matrice a klínky.

8. Finishing a polishing – neviditelné přechody

  • Naučíte se postupné broušení a leštění pomocí efektivních nástrojů pro dosažení hladkého, lesklého a přirozeného povrchu.
  • Osvojíte si práci se strukturou a texturou povrchu zubu, aby výplň byla nejen neviditelná, ale i funkčně správná.
  • Vysvětlíme si, jak rozpoznat a opravit případné chyby ve fázi dokončování – „haló efekt“, lomy světla, nepřirozené linie atd.


Na závěr: Každý účastník si odnese:

  • Systémový přístup k přímým rekonstrukcím frontálních zubů,
  • Znalost aktuálních materiálů a technik,
  • Schopnost vytvořit výplň, která bude estetická, funkční a dlouhodobě stabilní.
Cena včetně DPH:5990 Kč
Přihlásit se

Organizační informace

DATUM A MÍSTO

25. 6. 2026, 9:00 - 14:00
Hotel Vista, Hudcova 72, 621 00 Brno

Možnost parkování zdarma, počet míst je ovšem omezen. V okolí budovy se nachází parkovací místa ve fialové zóně.

CENA 

5990 vč. DPH.
V rámci vstupu zdarma je zahrnuta účast na teoretickém kurzu a lehké občerstvení.

Přihlásit se

Kdo vás akcí provede?

Odborník

Určeno odborným pracovníkům ve zdravotnictví

Tyto stránky a na nich dále obsažené informace jsou určeny odborným pracovníkům ve zdravotnictví a nejsou určeny široké – laické - veřejnosti.

Pokračováním v používání těchto stránek potvrzujete, že jste odborníkem ve smyslu §2a zákona č. 40/1995 Sb., o regulaci reklamy, ve znění pozdějších předpisů, a že jste si vědom(a) rizik, která jsou spojena s tím, že se seznámíte s informacemi takto určenými pro případ, že odborníkem nejste.