Přihlásit seMůj účet
Registrovat se
 

Kouzlo chirurgie parodontu – jak na to?

Teoreticko - praktický kurz
Zubní lékař
Pro všechny
5 ČSK
MDDr. Kamila Cmíralová Lektor
MDDr. Kamila Cmíralová
Datum a místo konání:
28. 5. 2026 (9:00 - 16:00) - Praha 3
Cena včetně DPH:
8490 Kč
Přihlásit se
Kouzlo chirurgie parodontu – jak na to?
28. 5. 2026 (9:00 - 16:00) - Praha 3 Přihlásit se
  • Doporučujeme si na kurz přinést vlastní lupové brýle
  • Regenerativní a resektivní chirurgie parodontu
  • Štěpy a krytí recesů

Teoretická část – indikace, principy, kazuistiky

  • Diagnostika, klasifikace, diferenciální diagnostika a léčba parodontopatií
  • Chirurgie parodontu regenerativní a resektivní – principy, indikace, kdy a jak
  • Záměrné replantace – kazuistiky, postup
  • Základy mukogingivální chirurgie – frenulektomie, epitelový a pojivový štěp, krytí recesů, prohloubení vestibula, …
  • Komplikace a jejich řešení

Praktická část – nácvik na plastových a zeleninových modelech

  • Nácvik odběru epitelového a pojivového štěpu
  • Rozšíření připojené gingivy epitelovým štěpem
  • Krytí recesu koronárně posunutým lalokem
  • Nácvik přenesení štěpu a šití při krytí recesů tunelizační technikou
  • Distální klínovitá excize
Cena včetně DPH:8490 Kč
Přihlásit se

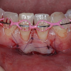
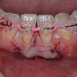
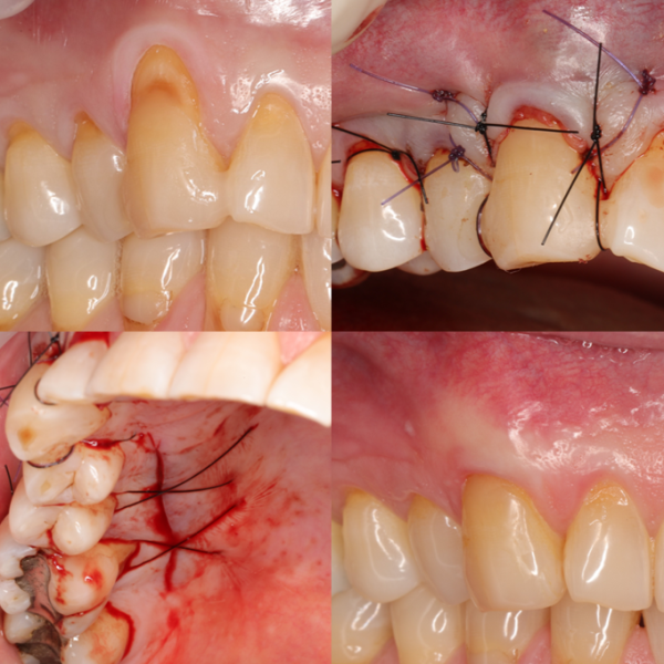
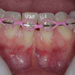
Doplňující fotografie ke kurzu

Organizační informace

DATUM A MÍSTO

28. 5. 2026, 9:00 - 16:00
Budova Dentamed, Pod Lipami 2602/41, 130 00 Praha 3
Možnost parkování zdarma, počet míst je ovšem omezen.
V okolí budovy se nachází parkovací místa ve fialové zóně.

CENA 

8490 Kč včetně DPH
V ceně je zahrnuta účast na školení vč. občerstvení.

Doporučujeme si na kurz přinést vlastní lupové brýle.

Kdo vás akcí provede?

Odborník

Určeno odborným pracovníkům ve zdravotnictví

Tyto stránky a na nich dále obsažené informace jsou určeny odborným pracovníkům ve zdravotnictví a nejsou určeny široké – laické - veřejnosti.

Pokračováním v používání těchto stránek potvrzujete, že jste odborníkem ve smyslu §2a zákona č. 40/1995 Sb., o regulaci reklamy, ve znění pozdějších předpisů, a že jste si vědom(a) rizik, která jsou spojena s tím, že se seznámíte s informacemi takto určenými pro případ, že odborníkem nejste.