Přihlásit seMůj účet
Registrovat se
 
Akce úspěšně proběhla

Online konference
Ženy ve stomatologii

Konference
Zubní lékař
Pro všechny
6 ČSK
Datum a místo konání:
10. 11. - 12. 11. 2025 - Online
Cena včetně DPH:
4990 Kč
Online konference
10. 11. - 12. 11. 2025 - Online
Akce úspěšně proběhla
  • Připojte se odkudkoli – pohodlně z domova nebo přímo z vaší ordinace
  • Každý den od 16:00 do 18:00 – čas, kdy jsme živě online
  • Záznam kdykoli – pokud nestihnete živé vysílání, čeká na vás záznam
  • Získejte až 6 kreditů ČSK za účast!

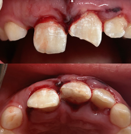
Estetické dostavby - uzávěr diastematu, tremat a hra s efekty

10. 11.
16:00 - 18:00   MDDr. Erika McGregor

MDDr. Erika McGregor

Zubní lékařka se specializací na estetické rekonstrukce předních zubů, mikroskopickou endodoncii a protetické ošetření. Absolventka Lékařské fakulty Univerzity Karlovy v Hradci Králové působí od roku 2013 na klinice Dental Office H33. Odborné dovednosti průběžně rozvíjí na kurzech v Česku i zahraničí. Absolvovala workshopy v Londýně a Barceloně, kde její práce získaly ocenění za nejlepší provedení. Od roku 2024 své zkušenosti předává jako lektorka kurzů přímých kompozitních dostaveb.

MDDr. Erika McGregor

Co vás čeká?

Na konkrétním klinickém případu mladého pacienta si krok za krokem ukážeme celý proces estetických dostaveb:

  • Příprava povrchu zubů – správná technika a volba prostředků
  • Stratifikace kompozitu – funkční i estetické vrstvení
  • Finální leštění – jak dosáhnout dokonalého povrchu

Každou fázi doplníme bohatou fotodokumentací, která umožní detailní porozumění jednotlivým krokům.

Ukázky dalších případů

  • Uzávěr diastematu i tremat
  • Variace a přístupy v různých klinických situacích

Efekty při dostavbách: Jak a proč je používat?

  • Proč jsou optické efekty důležité pro přirozený vzhled výplní?
  • Jaké efekty jsou aktuálně dostupné na trhu
  • Technika aplikace efektů a jejich vliv na výsledný vzhled
  • Strukturální mapping fotografie před zákrokem: kde a jak efekty správně aplikovat


Závěr: Případové studie

  • Přednášku zakončíme sérií případů, kde byly efekty využity v různých kombinacích a situacích – ideální inspirace pro vaši každodenní praxi.

Úrazy stálých zubů

11. 11.
16:00 - 18:00   MUDr. Hana Zallmannová

MUDr. Hana Zallmannová

Promovala na 1. lékařské fakultě UK, obor stomatologie, v roce 1998. Absolvovala odborné stáže v Německu, Rakousku, Švýcarsku, Japonsku a na Filipínách. V letech 1999–2011 pracovala v centru RANO, poté do roku 2013 působila na klinice Esthesia. Od roku 2013 vede vlastní stomatologickou praxi. Specializuje se na endodoncii, dentální traumatologii a záchovnou stomatologii. V roce 2008 úspěšně dokončila dvouleté postgraduální Curriculum z endodoncie pořádané Německou společností pro endodoncii a dentální traumatologii (DGET), jejíž je členkou. Aktivně přednáší a publikuje zejména na téma endodoncie a traumatologie zubů. Je zakladatelkou obecně prospěšné společnosti Český zelený kříž a od roku 2001 vede preventivní program Dětský úsměv pro školy a dětské domovy.

MUDr.  Hana Zallmannová

Zubní úrazy patří mezi komplexní poranění, která obvykle zasahují více typů tkání najednou. Pro stomatologa představují tyto situace mimořádnou výzvu, a to nejen organizačně, ale i odborně.

Co vás na přednášce čeká?

  • Jak efektivně reagovat na akutní úraz během běžného provozu ordinace

  • Rychlá a kvalifikovaná diagnostika – co si všímat, co nepřehlédnout
  • Praktický návod k prvnímu ošetření – co je:
    - Nutné

    - Žádoucí


    - Možné
  • Přehledný algoritmus vyšetření a rozhodování

  • Řada kazuistik z praxe – reálné případy, konkrétní postupy

Způsoby ošetření dětského pacienta

12. 11.
16:00 - 18:00   MDDr. Michaela Štětinová

MDDr. Michaela Štětinová

Zubní lékařka se specializací na dětskou stomatologii. Vystudovala Lékařskou fakultu Univerzity Karlovy v Plzni (2007–2012) a své praktické zkušenosti sbírala v ordinacích A-Zdental Nýřany, Complexdental Plzeň, PrivaDent Karlovy Vary a aktuálně působí v MiniSmile s.r.o. v Plzni.
Od roku 2019 je autorkou populárního instagramového profilu @Dentist_for_small, kde sdílí tipy a edukativní obsah o dětské zubní péči. V roce 2022 a 2023 vydala dvě dětské knihy s tematikou první návštěvy u zubaře – Těším se k zubaři a U zubaře.

MDDr. Michaela Štětinová

Zajímá vás efektivní a moderní přístup k ošetření dětí v zubní ordinaci? Přihlaste se na kurz, kde se dozvíte vše potřebné pro úspěšnou práci s dětským pacientem!


Co se naučíte:


Komunikace

  • Jak si získat důvěru
  • Čeho se v komunikaci vyvarovat

Příprava na ošetření jako nedílná součást ošetření

  • Jak dítě na ošetření připravit
  • Jak dítě co nejlépe odhadnout ještě před samotným ošetřením


Management dětského pacienta

  • Individualizace ošetření podle dané spolupráce a stavu zubů
  • Možnosti ošetření (při plném vědomí/ovlivněné vědomí, klasické ošetření/miniinvazivní techniky)
Cena včetně DPH:4990 Kč
Akce úspěšně proběhla

Datum a místo

10. 11. 2025 (16:00 - 18:00) - Pondělí
MUDr. Erika McGregor
Téma: Estetické dostavby - uzávěr diastematu, tremat a hra s efekty
11.11.2025 (16:00 - 18:00) - Úterý
MUDr. Hana Zallmannová
Téma: Úrazy stálých zubů
12.11.2025 16:00 - 18:00) - Středa
MDDr. Michaela Štětinová
Téma: Způsoby ošetření dětského pacienta


Připojte se jednoduše odkudkoli – pohodlně z domova nebo přímo z vaší ordinace.

Cena

4 990 Kč ceny jsou uvedeny včetně DPH.

Přihlásit se

Těšíme se na vás.

Odborník

Určeno odborným pracovníkům ve zdravotnictví

Tyto stránky a na nich dále obsažené informace jsou určeny odborným pracovníkům ve zdravotnictví a nejsou určeny široké – laické - veřejnosti.

Pokračováním v používání těchto stránek potvrzujete, že jste odborníkem ve smyslu §2a zákona č. 40/1995 Sb., o regulaci reklamy, ve znění pozdějších předpisů, a že jste si vědom(a) rizik, která jsou spojena s tím, že se seznámíte s informacemi takto určenými pro případ, že odborníkem nejste.